Боец смешанных единоборств из Уральска Алиби Темиртасов завоевал бронзовую медаль чемпионата мира по ММА в Бахрейне, проведя три поединка со сломанной ногой. Об этом в своем Facebook написал почетный президент Национальной федерации ММА и панкратиона Казахстана Айдар Махметов.
Казахстанский спортсмен, выступающий в весовой категории до 56,7 килограмма, получил травму в середине второго боя и остальные два поединка провел практически на одной ноге и постоянно хромая.
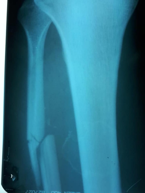
"Честно говоря, я лично думал, что ему просто "отсушили" бедро лоу-киками и гематома скоро спадет. Сегодня на рентгене, по возвращении на родину, выяснилось, что Алиби во втором бою сломал малую берцовую кость! Как можно с такой травмой даже просто ходить, а не биться и завоевать медаль на чемпионате мира - для меня загадка, удивление и восхищение!" - поделился Махметов.
"На мой взгляд, Алиби совершил настоящий спортивный подвиг, проявил просто сумасшедшую волю к победе и в буквальном смысле сражался за свою страну. В 1/4 финала он досрочно до отключки "задушил" американского бойца, бронзового призера предыдущего чемпионата мира. А в полуфинале дал настоящий бой будущему чемпиону, дагестанцу Руслану Сатиеву, и уж точно не проиграл. Судьи предпочли Сатиева.
Вот такими батырами должна гордиться казахстанская земля! Такие ребята и прославляют нашу страну. Красавчик, Алиби!!! Настоящий батыр!!!" - отметил автор поста.
По словам Махметова, у Алиби осколочный перелом со смещением берцовой кости. Спортсмену понадобится операция.

Сборная Казахстана завоевала на чемпионате мира по ММА в Бахрейне девять медалей: одну золотую, одну серебряную и семь бронзовых.