Казахстанец отсудил у российских врачей деньги за кусок железа в ноге

Асель Сатаева
Асель Сатаева Выпускающий редактор

ПОДЕЛИТЬСЯ

Казахстанец отсудил у российских врачей деньги за кусок железа в ноге Ерлан Тайкулаков

Казахстанец отсудил у российских врачей около двух миллионов тенге, передает корреспондент Tengrinews.kz.


Казахстанец отсудил у российских врачей около двух миллионов тенге, передает корреспондент Tengrinews.kz.

В марте 2016 года преподавателя казахстанского вуза Ерлана Тайкулакова прооперировали в новосибирской клинике. К российским врачам 34-летний геофизик обратился с проблемой со связками в коленном суставе. 


Ерлан Тайкулаков. Фото предоставлено адвокатом

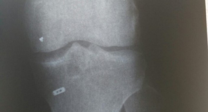
Как рассказывает адвокат Ерлана Тайкулакова Нариман Закирьянов, после операции молодого ученого продолжали беспокоить боли в колене. С болями в колене мужчина ходил целый год.

"У него боли не прекращались, даже судороги были. Он думал, что это постреабилитационный период, что это естественное явление, что нога, наверное, заживает. Спустя год он сделал МРТ, которое показало, что в колене есть инородный предмет. Мы сразу обратились в клинику за разъяснениями, они сказали, что, возможно, это часть металлического инструмента", - рассказал адвокат Нариман Закирьянов.

 

"Мы сказали врачам, что нам нужны деньги, чтобы сделать операцию, чтобы удалить этот предмет. В клинике, где проводилась операция, нам отказали. Сказали, что они ничего не могут нам предоставить. Но могут сделать бесплатную операцию в Новосибирске по удалению инородного предмета из колена", - добавил адвокат молодого преподавателя. 

Судебная тяжба с клиникой, по его словам, началась в сентябре 2017 года. Сегодня новосибирский суд вынес решение по делу.

"Мы подавали иск на три миллиона 300 тысяч российских рублей. Но суд удовлетворил иск в размере 350 тысяч рублей. Возможно, придется оспаривать решение суда. Мы также подавали ходатайство о возбуждении уголовного дела в отношении врачей по статье "Халатность", но суд отказал, ссылаясь на то, что он не орган следствия", - отметил адвокат Нариман Закирьянов.


Адвокат Нариман Закирьянов 

По словам адвоката, Ерлан Тайкулаков до сих продолжает ходить с инородным телом в колене. Сейчас он планирует обратиться за помощью к зарубежным врачам.  

"Эта железка до сих пор в ноге. Операция дорогостоящая, она стоит за рубежом порядка 10 тысяч долларов. У него средств не было, соответственно, мы требовали эту сумму с клиники. Он не требует деньги в корыстных целях, мы требовали деньги на операцию, чтобы этот предмет удалить", - отметил адвокат. 

Tengrinews
Читайте также

Курс валют

 481.88   556.79   5.72 

 

Погода

Алматы
А
Алматы 6
Астана -5
Актау 14
Актобе 6
Атырау 16
Б
Балхаш 1
Ж
Жезказган 0
К
Караганда 5
Кокшетау 2
Костанай 8
Кызылорда 0
П
Павлодар 4
Петропавловск -3
С
Семей 1
Т
Талдыкорган 5
Тараз 11
Туркестан 3
У
Уральск -7
Усть-Каменогорск 13
Ш
Шымкент 1

 

Редакция Реклама
Социальные сети