Клок волос, ручку и скотч извлекли из желудка 12-летней девочки в Актау

ПОДЕЛИТЬСЯ

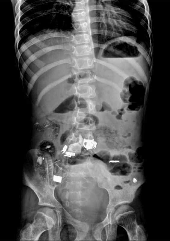
Клок волос, ручку и скотч извлекли из желудка 12-летней девочки в Актау Фото:lada.kz

В Актау хирурги детской областной больницы извлекли из желудка 12-летней девочки-инвалида клок волос, ручку, скотч и кусок железа, передает Tengrinews.kz со ссылкой на Управление здравоохранения Мангистауской области.


В Актау хирурги детской областной больницы извлекли из желудка 12-летней девочки-инвалида клок волос, ручку, скотч и кусок железа, передает Tengrinews.kz со ссылкой на Управление здравоохранения Мангистауской области.

Ребенка, который страдает ДЦП и задержкой психического развития, экстренно госпитализировали с жалобами на боли в животе и рвоту. Врачи провели всестороннее обследование организма, рентген показал инородные предметы в брюшной полости. Инцидент произошел в феврале, но известно о нем стало только сейчас.  

"Благодаря оперативному вмешательству врачей, в ходе операции в кишечнике девочки благополучно обнаружены и вытащены инородные тела - железо, ручка, скотч, волосы", - сообщили в пресс-службе областного управления здравоохранения.

Осложнений в послеоперационном периоде не было. Ребенок в удовлетворительном состоянии.

Советы врача: Что делать, если человек подавился

Еще быстрее, чем на сайте! Читайте наши новости в Telegram. Подписывайтесь на @tengrinews.

Tengrinews
Читайте также

Курс валют

 481.88   556.79   5.72 

 

Погода

Алматы
А
Алматы 16
Астана 5
Актау 14
Актобе 16
Атырау 22
Б
Балхаш 15
Ж
Жезказган 9
К
Караганда 12
Кокшетау 3
Костанай 22
Кызылорда 8
П
Павлодар 7
Петропавловск 7
С
Семей 17
Т
Талдыкорган 19
Тараз 23
Туркестан 12
У
Уральск 5
Усть-Каменогорск 22
Ш
Шымкент 11

 

Редакция Реклама
Социальные сети