В организме пациентов с коронавирусом найдены аномальные изменения

ПОДЕЛИТЬСЯ

В организме пациентов с коронавирусом найдены аномальные изменения © Reuters

Сотрудники отделения радиологии Массачусетской общей больницы в Бостоне (США) обнаружили у некоторых зараженных коронавирусом пациентов аномальные изменения в желудочно-кишечном тракте. Чаще всего они выявлялись у тяжелых больных. Об этом говорится в исследовании, опубликованном в журнале Radiology, пишет "Российская газета".


Сотрудники отделения радиологии Массачусетской общей больницы в Бостоне (США) обнаружили у некоторых зараженных коронавирусом пациентов аномальные изменения в желудочно-кишечном тракте. Чаще всего они выявлялись у тяжелых больных. Об этом говорится в исследовании, опубликованном в журнале Radiology, пишет "Российская газета".

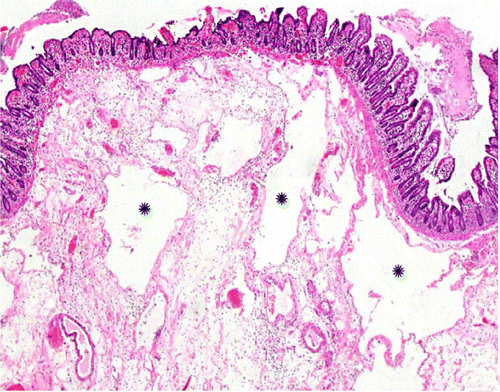
Ученые проанализировали данные 414 пациентов, которые поступили на лечение с 27 марта по 10 апреля 2020 года. Их средний возраст составил 57 лет, многих из них подключили к аппаратам ИВЛ. Нарушения со стороны кишечника наблюдались у 31 процента заболевших.

"Мы обнаружили аномалии в работе кишечника у пациентов с COVID-19. Они чаще фиксировались у лежащих в отделении интенсивной терапии. Чтобы понять причину таких изменений, необходима дополнительная работа", - заявил доктор медицинских наук Раджеш Баяна.

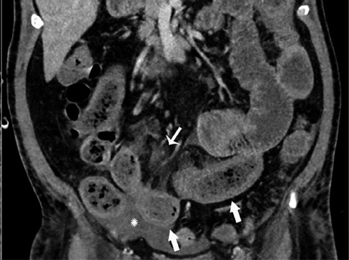
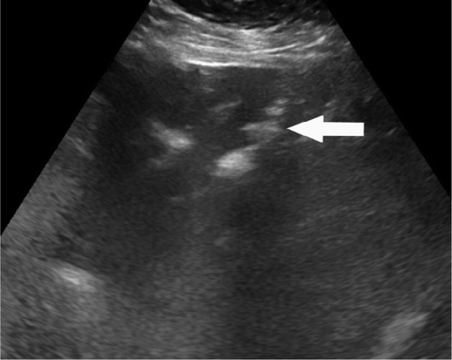
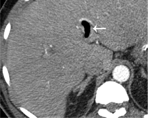
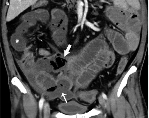
В частности, как пояснил специалист, у некоторых пациентов с COVID-19 внезапно развивался пневматоз - патологическое состояние системы пищеварения, при котором газы проникают в толщу стенки кишечника и образуют там воздушные кисты. Кроме того, у нескольких людей было выявлено необычное желтое обесцвечивание кишечника, еще у трех больных - инфаркт кишечника.

© Radiology

По данным Университета Джонса Хопкинса на 13 мая, в США выявлено 1 371 395 случаев заражения коронавирусом. Скончался 82 461 человек, выздоровели 230 287 человек. 

Tengrinews
Читайте также

Курс валют

 481.88   556.79   5.72 

 

Погода

Алматы
А
Алматы 10
Астана -7
Актау 6
Актобе 0
Атырау 8
Б
Балхаш 0
Ж
Жезказган -4
К
Караганда -1
Кокшетау -3
Костанай 5
Кызылорда -3
П
Павлодар 0
Петропавловск -2
С
Семей 8
Т
Талдыкорган 12
Тараз 10
Туркестан -3
У
Уральск -4
Усть-Каменогорск 13
Ш
Шымкент 1

 

Редакция Реклама
Социальные сети