Пациенту напечатали грудную клетку на 3D-принтере в Британии

Шокан Алхабаев
Шокан Алхабаев Журналист

ПОДЕЛИТЬСЯ

Пациенту напечатали грудную клетку на 3D-принтере в Британии Фото с сайта wales.nhs.uk

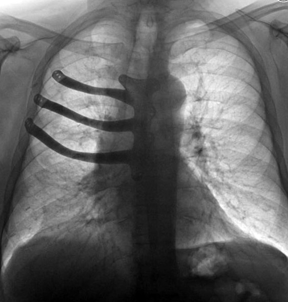
Врачи госпиталя Моррисон в британском городе Суонси реконструировали с помощью 3D-принтера грудную клетку своего пациента. 71-летнему Питеру Мэггзу из-за раковой опухоли пришлось удалить половину грудной кости и три ребра, сообщает ABMU Health Board.


Врачи госпиталя Моррисон в британском городе Суонси реконструировали с помощью 3D-принтера грудную клетку своего пациента. 71-летнему Питеру Мэггзу из-за раковой опухоли пришлось удалить половину грудной кости и три ребра, сообщает ABMU Health Board.

Как правило, в таких случаях хирурги отливают протез из медицинского цемента во время операции, но технология 3D-печати позволила изготовить имплант из титанового сплава и сократить время операции на два часа. При изготовлении протеза использовалась компьютерная томография грудной клетки Мэггза. Это один из первых случаев печати подобных протезов в Британии.

Операция длилась восемь часов. По словам врачей, имплант сел идеально, и они планируют практиковать такое протезирование и в будущем.


Фото с сайта wales.nhs.uk


Пациент Питер Мэггз (в центре). Фото: ABMU Health Board

Мы отправим новости на ваш телефон. Подписывайтесь в Telegram @tengrinews

Tengrinews
Читайте также

Курс валют

 481.88   556.79   5.72 

 

Погода

Алматы
А
Алматы 11
Астана -5
Актау 6
Актобе -1
Атырау 8
Б
Балхаш 0
Ж
Жезказган -2
К
Караганда -1
Кокшетау -3
Костанай 5
Кызылорда -2
П
Павлодар -1
Петропавловск -2
С
Семей 9
Т
Талдыкорган 11
Тараз 12
Туркестан -2
У
Уральск -1
Усть-Каменогорск 14
Ш
Шымкент 2

 

Редакция Реклама
Социальные сети