Поражение легких коронавирусом показали в динамике на снимках

ПОДЕЛИТЬСЯ

Поражение легких коронавирусом показали в динамике на снимках Фото: ©REUTERS

Китайские медики показали снимки легких пациентки, которая заразилась коронавирусом 2019-nСоV, передает Tengrinews.kz со ссылкой на РИА Новости.


Китайские медики показали снимки легких пациентки, которая заразилась коронавирусом 2019-nСоV, передает Tengrinews.kz со ссылкой на РИА Новости.

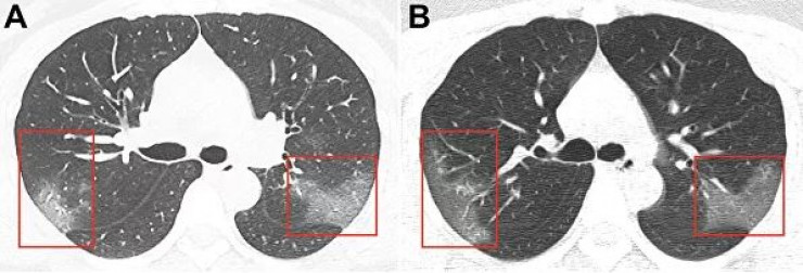
Изображения, опубликованные в журнале Radiology, получены в результате компьютерной томографии 33-летней женщины, госпитализированной в китайском городе Ланьчжоу с температурой 39 градусов.

 

На первом снимке видны помутнения, создающие "эффект матового стекла". На втором, сделанном три дня спустя, можно заметить, что пораженная область расширяется.
 
"На основании эпидемиологических характеристик, клинических проявлений, изображений грудной клетки и лабораторных данных был поставлен диагноз: "пневмония 2019-nСоV", - говорится в публикации.

Tengrinews
Читайте также

Курс валют

 481.88   556.79   5.72 

 

Погода

Алматы
А
Алматы 6
Астана -5
Актау 16
Актобе 4
Атырау 15
Б
Балхаш 1
Ж
Жезказган 0
К
Караганда 4
Кокшетау 2
Костанай 8
Кызылорда 0
П
Павлодар 4
Петропавловск -3
С
Семей 2
Т
Талдыкорган 6
Тараз 10
Туркестан 2
У
Уральск -6
Усть-Каменогорск 12
Ш
Шымкент 1

 

Редакция Реклама
Социальные сети